<<<
Compare
the pathological image-left and the physiological image-right
(blinded)
<<
H:
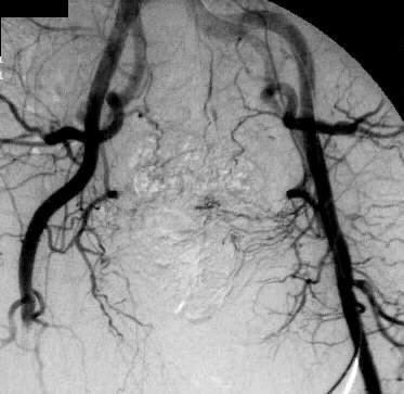
Adult woman, 73-years-old
- history of atrial fibrillation, but the patient refuses any medication. Physical
examination reveals a pale, pulseless and painful right leg.
INFO/WWW-LINKS:
Acute embolism may
occure after myocardial infarction caused by mobilized mural thrombus or cardiac
disease (e.g. diseased valves). Other causes are atrial fibrillation, polycythaemia
and left atrial myxomas.
D:
Acute embolism of
the superficial femoral artery at the right side caused by atrial fibrillation
IN
THIS PART OF THE PAGE YOU FIND SOME TEXT FIELDS WHICH CAN BE OPENED EIGTHER
STEP BY STEP (CLICK ON "HISTORY", "HELP", "FINDINGS",
"DIAGNOSIS" OR "INFO/WWW-LINKS") OR AT ONCE WITH A CLICK
ON "ALL ON" - VICE VERSA CLICK ON "ALL OFF".
If you need
a physiological image to compare click here