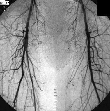
<<<
Compare
the pathological image-left and the physiological image-right
(blinded)
<<
H:
Adult man, 63-years-old,
admitted with pain in the left leg. Physical examination reveals gangrene at
the left foot
INFO/WWW-LINKS:
Atherosclerosis
is the main cause of peripheral vasclar diseases. Clinically they present
with intermittent claudication, pain at rest and gangrene.
D:
Peripheral vasclar
disease with occlusion of the superficial femoral artery at the left side caused
by atherosclerosis.
IN
THIS PART OF THE PAGE YOU FIND SOME TEXT FIELDS WHICH CAN BE OPENED EIGTHER
STEP BY STEP (CLICK ON "HISTORY", "HELP", "FINDINGS",
"DIAGNOSIS" OR "INFO/WWW-LINKS") OR AT ONCE WITH A CLICK
ON "ALL ON" - VICE VERSA CLICK ON "ALL OFF".
If you need
a physiological image to compare click here